Žmogaus kūnas slepia daugybę paslapčių, tačiau viena jų jau kelis šimtus metų kelia išskirtinį smalsumą. Giliai smegenų centre esanti mažytė struktūra tapo filosofų, mistikų ir net sąmokslo teorijų šalininkų dėmesio objektu. Būtent jai buvo priskirta drąsi ir šiandien skambanti provokuojamai idėja – kad tai gali būti vieta, kurioje „gyvena siela“.
Maža liauka, didelė filosofinė našta
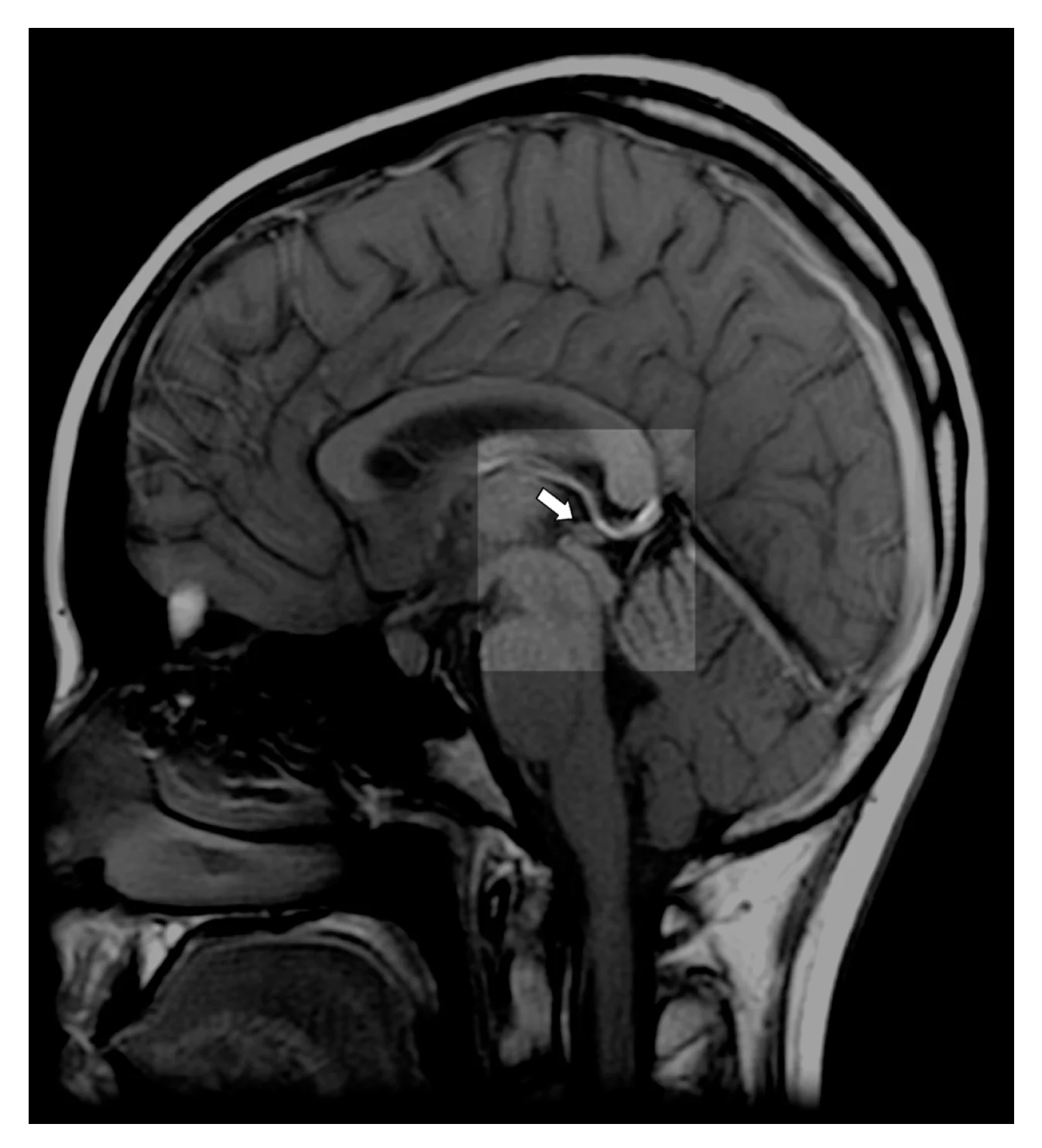
Kalbama apie kankorėžinę liauką – vos kelių milimetrų dydžio darinį, esantį smegenų viduryje. Nors šiandien ji siejama su hormonų gamyba ir miego reguliavimu, XVII amžiuje jai buvo suteikta kur kas didesnė reikšmė. Prancūzų filosofas Renė Dekartas ją laikė savotišku tiltu tarp kūno ir proto.
Dekarto garsioji mintis „Mąstau, vadinasi, esu“ tapo pagrindu dualizmo idėjai, teigiančiai, kad kūnas ir protas yra dvi atskiros, bet sąveikaujančios substancijos. Ieškodamas vietos, kur jos galėtų susitikti, filosofas pasirinko būtent kankorėžinę liauką. 1649 metais veikale „Sielos kančios“ jis ją pavadino „sielos buveine“ – vienintele vieta kūne, kur, jo manymu, galėjo susijungti jutimai ir sąmonė.
Kodėl ši teorija žlugo
Dekartas manė, kad ši liauka sujungia signalus iš akių, ausų ir kitų jutimo organų į vieną patirtį, kuri vėliau „pateikiama“ sielai. Tačiau šiuolaikinė neurologija šią idėją paneigė. Mokslininkai šiandien aiškiai žino, kad kankorėžinė liauka atlieka visai kitą, nors ir labai svarbią funkciją – ji gamina melatoniną ir reguliuoja žmogaus cirkadinį ritmą, kitaip tariant, biologinį laikrodį.
Tai reiškia, kad ji padeda mums jausti dienos ir nakties ritmą, reguliuoja miegą ir budrumą, bet neturi jokio išskirtinio vaidmens sąmonės ar „sielos“ buvimo klausimuose.

Kaip gimė mitai apie „trečiąją akį“
Naujausi tyrimai rodo, kad Dekarto klaidinga prielaida turėjo ilgalaikių pasekmių. Per pastaruosius beveik 400 metų aplink kankorėžinę liauką susiformavo ištisa pseudomokslinių ir mistinių idėjų grandinė.
XIX amžiaus pabaigoje teosofinio judėjimo įkūrėja Helena Blavatsky teigė, kad ši liauka esą minima tūkstančius metų senumo Indijos tekstuose kaip Adžna čakra, dar vadinama Trečiąja akimi. Vis dėlto šiuolaikiniai mokslininkai nerado jokių patikimų įrodymų, kad senovės raštuose kankorėžinė liauka būtų aprašyta ar turėjusi tokią reikšmę.
„Smegenų smėlis“ ir dvasinės energijos
XX amžiaus pradžioje idėjos tapo dar radikalesnės. Naujojo Amžiaus filosofas Rudolfas Steineris teigė, kad su amžiumi kankorėžinėje liaukoje susidarančios kalcito sankaupos, vadinamos „smegenų smėliu“, esą sugeria dvasines energijas. Pasak jo, žmonės, neturintys šių sankaupų, negali palaikyti ryšio su „aukštesnėmis jėgomis“ ir dėl to dvasiškai bei intelektualiai degraduoja.
Šiandien mokslas pripažįsta tik tiek, kad kankorėžinė liauka iš tiesų gali kalkėti su amžiumi. Tačiau kodėl tai vyksta, vis dar nėra iki galo aišku. Viena žinoma tikrai – šis procesas neturi nieko bendra su dvasiomis, energijomis ar sąmonės „užblokavimu“.
Kodėl ši tema vis dar gyva
Nepaisant aiškių mokslo išvadų, kankorėžinė liauka ir šiandien išlieka sąmokslo teorijų bei pseudomokslo mėgėjų taikiniu. Tyrėjai pastebi, kad didelę įtaką tam galėjo turėti pats Dekarto autoritetas. Jo vardas iki šiol siejamas su racionaliu mąstymu, todėl net klaidingos idėjos, išsakytos tokio masto mąstytojo, ilgainiui įgavo savotišką patikimumo aurą.
Neurologijos istorijos žurnale publikuoto tyrimo autoriai daro aiškią išvadą: nors kankorėžinė liauka yra svarbi žmogaus organizmui, ji nėra nei sielos būstinė, nei mistinių galių centras. Tai tik dar vienas pavyzdys, kaip viena filosofinė hipotezė gali šimtmečiams įsišaknyti kultūroje ir tapti dirva fantazijoms, kurios su mokslu turi labai mažai bendro.
Šaltinis: https://www.tandfonline.com/doi/full/10.1080/0964704X.2025.2568245#d1e546
Ką manote apie tai?
Jūsų nuomonė svarbi! Parašykite komentarą žemiau arba pasidalinkite straipsniu su draugais.
